Ferramenta de IA é capaz de detectar anormalidades cerebrais invisíveis
Algoritmo disponível publicamente facilita a identificação de lesões e o planejamento cirúrgico de pacientes com epilepsia
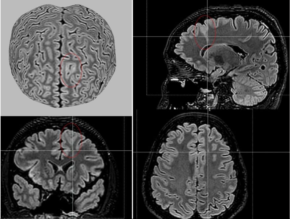
Uma equipe internacional de pesquisadores desenvolveu uma ferramenta baseada em inteligência artificial (IA) que identifica lesões cerebrais associadas à displasia cortical focal, uma das principais causas de epilepsia refratária a medicamentos e muito difícil de ser diagnosticada. Os detalhes foram divulgados na revista JAMA Neurology.
A displasia cortical focal é uma malformação no córtex caracterizada por lesões em algumas regiões do cérebro. Pacientes com a condição tendem a apresentar resistência ao tratamento com anticonvulsivos e, desse modo, a cirurgia (para remoção das áreas lesionadas) resta como única alternativa para reduzir os sintomas da doença. No entanto, essas lesões cerebrais costumam ser muito sutis e de difícil detecção, o que torna o tratamento da displasia cortical focal ainda mais desafiador.
A partir de técnicas de aprendizado de máquina e da análise de dados de ressonância magnética de 1.185 participantes – incluindo 703 pessoas com displasia cortical focal e 482 controles – a ferramenta, denominada MELD Graph, conseguiu detectar as anormalidades a partir de varreduras nas imagens cerebrais.
A ferramenta, cujo algoritmo está disponível publicamente, detectou 64% das anormalidades cerebrais ligadas à epilepsia que os médicos radiologistas não haviam detectado. Com isso, a expectativa é que a MELD Graph possa atender a mais de 4 milhões de pessoas em todo o mundo que convivem com esta causa de epilepsia.
Colaboração internacional
O trabalho foi conduzido no âmbito do Consórcio Enigma, rede internacional que reúne cientistas de áreas como genômica de imagem, neurologia e psiquiatria. O grupo busca compreender a estrutura e a função do cérebro com base em ressonância magnética de alta resolução, dados genéticos e outras informações de pacientes com epilepsia, Parkinson, Alzheimer, autismo, esquizofrenia e outras doenças neurodegenerativas.
O desenvolvimento da ferramenta de IA ficou a cargo de pesquisadores do King’s College London e do University College London, ambos do Reino Unido. Já as imagens de ressonância magnética de alta qualidade foram fornecidas por 23 centros de pesquisa em epilepsia em todo o mundo que fazem parte do consórcio. O Instituto Brasileiro de Neurociência e Neurotecnologia (BRAINN) foi uma das instituições com alta capacidade de captação e análise de imagens a fornecer dados para o projeto.
“Nesse tipo de epilepsia, os pacientes – que podem ser adultos ou crianças – têm 30 ou até 50 crises epilépticas por dia. É grave e geralmente as crises não são controladas por medicamentos. Portanto, a cirurgia para a remoção das lesões cerebrais, embora muito difícil de ser feita, é a mais indicada para esses casos. A nova ferramenta pode auxiliar muito esses pacientes, dando mais celeridade ao tratamento e, sobretudo, melhoria na qualidade de vida dessas pessoas e das famílias”, conta à Agência FAPESP Clarissa Yasuda, professora do Departamento de Neurologia da Faculdade de Ciências Médicas da Universidade Estadual de Campinas (FCM-Unicamp) e integrante do BRAINN, um Centro de Pesquisa, Inovação e Difusão (CEPID) da FAPESP.
De acordo com Luca Palma, da Bambino Gesù Children’s Hospital, na Itália, o MELD Graph identificou uma lesão sutil que muitos radiologistas não perceberam em um menino de 12 anos que tinha crises epilépticas diárias e havia tentado nove medicamentos anticonvulsivos sem nenhuma melhora em sua condição. “Esta ferramenta pode identificar pacientes com epilepsia que podem ser tratados cirurgicamente e ajudar no planejamento cirúrgico – reduzindo riscos, economizando dinheiro e melhorando os resultados”, disse o pesquisador em comunicado à imprensa.
Além de reduzir custos e dar qualidade de vida aos pacientes, outro benefício importante da nova ferramenta é a possibilidade de ampliar o entendimento sobre a displasia cortical focal. “É uma malformação cerebral sobre a qual ainda há muito a se descobrir. A partir da análise dessas imagens de alta qualidade e do uso da ferramenta poderemos identificar padrões, impossíveis de serem percebidos sem a inteligência artificial, e responder a perguntas como, por exemplo, a origem desse problema”, afirma Fernando Cendes, professor da FCM-Unicamp e coordenador do BRAINN.
O artigo Detection of Epileptogenic Focal Cortical Dysplasia Using Graph Neural Networks A MELD Study pode ser lido em: https://jamanetwork.com/journals/jamaneurology/fullarticle/2830410?guestAccessKey=e833d51e-69c6-4a26-bee3-66b84e3e9b0c&utm.





